por Taboola
La neumonía es una enfermedad misteriosa, ya que muestra un rápido avance una vez que afecta a la persona y puede llevar a consecuencias peligrosas. Además, hasta la fecha no se ha demostrado médicamente si la neumonía es contagiosa, pero sin duda por sus síntomas, como el resfriado y la gripe, se puede transmitir fácilmente a otras personas.
También es tema arriesgado, ya que a algunas personas se las trata y, para otras, puede ser totalmente letal. La cantidad de las muertes causadas por esta infección temida en todo el mundo es enorme y, puede ser convincentemente afirmado, que en realidad es una enfermedad mortal.
lasaludi.info/Los síntomas de la neumonía, si llegan a ser graves, pueden ser mortales debido a que interfieren con el sistema inmunológico.
¿Qué es lo que hace que la neumonía sea una enfermedad letal?
Los pulmones son uno de los órganos más expuestos a los agentes ambientales y a los microscópicos como las bacterias, los virus, los hongos, los protozoos y los micoplasmas. Dado que el proceso respiratorio es involuntario, nunca nos paramos a pensar seriamente sobre nuestro cuidado pulmonar, o es decir, sobre el cuidado del sistema respiratorio.
Los pulmones son los únicos responsables de la eliminación del CO2 de nuestra sangre, y por lo tanto, de oxigenar todas las células de nuestro cuerpo. Dado que esto forma la base de la supervivencia de la vida, cualquier deterioro en el funcionamiento de los pulmones (debido a enfermedades tales como la neumonía de los pulmones) conduce a consecuencias muy peligrosas para el organismo. Las partículas microscópicas de los sacos de aire en los pulmones se llenan de moco y de pus después de una infección. Esto disminuye la ingesta de oxígeno en el torrente sanguíneo, mientras que la presencia del CO2 aumenta con sus consecuencias negativas para la salud.
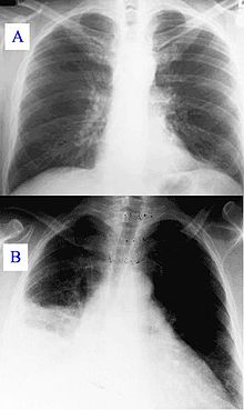
wikipedia.org/Muestras de diagnóstico con rayos X: a) Pulmón sano. b) Pulmón con neumonía.
Síntomas
Los signos de la neumonía varían mucho en función de numerosos factores, tales como la edad del paciente y del microorganismo en particular que ha causado la enfermedad. En un principio, comienza con una tos durante un resfriado y avanza en otros problemas como la fiebre alta y dolores en el cuerpo.
La neumonía bacteriana
Una persona que sufre de la neumonía bacteriana, puede experimentar los siguientes síntomas:
La fiebre alta.
Los escalofríos.
Dolor en el pecho y la congestión.
La transpiración.
La tos grave con el esputo espeso (de color amarillento o verdoso).
La dificultad para respirar.
La neumonía viral
En sus signos y en sus síntomas es similar a la gripe. Los signos prominentes de esta infección incluyen:
La tos seca.
La fiebre.
La fatiga muscular.
Dolor de la cabeza.
Dolor muscular.
Flemas blancas (en las etapas avanzadas).
La dificultad para respirar.
La neumonía por el micoplasma
También es conocida como la neumonía atípica que rara vez muestra algún síntoma en las primeras etapas. Los síntomas de esta enfermedad en las etapas avanzadas son los siguientes:
Los niveles bajos de energía.
El resfriado avanza al pecho, a la nariz y a la garganta dando lugar a una sensación de opresión en el pecho.
Los problemas de la nariz.
Dolor abdominal.
Dolor muscular, en los ojos y en los oídos.
La fatiga.
Cualquiera de estos síntomas, si llegan a ser graves, pueden ser mortales debido a que interfieren con el sistema inmunológico.
Se ha de tener en cuenta, que una persona puede obtener los síntomas de un resfriado de otra persona que sufre de esta enfermedad, pero la persona puede o no puede desarrollar la neumonía.
Estos aspectos de la neumonía están llenos de misterio y le dan un estatus de enfermedad mortal.
Fuente: lasaludi.info/Saludybienestar/Otorrinolaringología/2016
Información:
La neumonía: Asesino silencioso│RPP
La neumonía: Asesino silencioso│RPP
La neumonía es un mal que acecha principalmente a niños y adultos mayores. Las cifras son alarmantes en América Latina, pues a cada hora se registran 5 muertes y 25 hospitalizaciones, debido a complicaciones asociadas únicamente con neumonía neumocócica.
Publicado el 7 may. 2015 por RPPNOTICIAS


1 comentario :
Las partículas de aluminio que despiden las estelas químicas de aviones, alojadas en los pulmones, también pueden producir inflamación y pus; es decir, neumonía casi mortal.
Publicar un comentario